Compartilhe este texto

Adolescente sofre necrose nos dentes após fazer aplicação de lentes de resina

Por Portal Do Holanda

08/11/2024 17h26 — em
Brasil


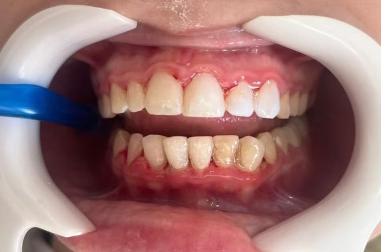
Foto: Reprodução/Redes Sociais

Uma adolescente de 17 anos teve necrose pulpar e óssea [morte da polpa dentária e dos ossos] após realizar a aplicação de lentes de resina com uma mulher que não era dentista em São Vicente (SP). Ela pagou R$ 1 mil pelo procedimento, realizado na casa da responsável, que é conhecida de seu pai.

A jovem relatou que não tinha noção que ela não era dentista.

Andreza Aline Gasparini Lima, cobrou inicialmente R$ 1,2 mil, mas ofereceu desconto em troca de parte do valor ser pago com trabalho do pai da adolescente, que é pedreiro. 

Após o procedimento, três lentes caíram e a mulher afirmou que a adolescente não teria seguido os cuidados adequados. Sem sucesso no uso de fio dental, Andreza usou uma broca para tentar corrigir, mas a situação só piorou, levando a jovem a sentir incômodos e perceber escurecimento nos dentes.

Após orientação da irmã, que é estudante de odontologia, a adolescente procurou uma clínica, onde teve as lentes removidas devido a infiltrações e inflamação. Segundo laudo odontológico, ela apresentava periodontite e necrose pulpar causada pela má adaptação das facetas.

O Conselho Regional de Odontologia de São Paulo (CROSP) informou que Andreza Aline não possui registro de dentista e reforçou que procedimentos odontológicos devem ser realizados por profissionais habilitados, em locais regulamentados pela Anvisa e Vigilâncias Sanitárias.

 


Siga-nos no
O Portal do Holanda foi fundado em 14 de novembro de 2005. Primeiramente com uma coluna, que levou o nome de seu fundador, o jornalista Raimundo de Holanda. Depois passou para Blog do Holanda e por último Portal do Holanda. Foi um dos primeiros sítios de internet no Estado do Amazonas. É auditado pelo IVC e ComScore.

ASSUNTOS: Brasil

+ Brasil