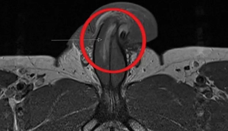
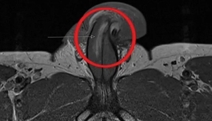
Fraturas no pênis são raras, mas o um homem de 40 anos é o primeiro caso no mundo a ter sofrido uma fratura vertical durante o sexo. O relato foi publicado no British Medical Journal.
Segundo a publicação, a lesão foi constatada em uma ressonância magnética e não há nenhum caso registrado igual documentado até hoje.
De acordo com o relatório, o ferimento aconteceu quando o pênis bateu contra o períneo (espaço entre o ânus e os genitais) da parceira provocando uma dobra.
As posições “de quatro” ou o homem por cima da mulher são as que mais têm riscos de causar esses acidentes, diz o estudo. Vale lembrar que o órgão genital não tem osso e a ‘fratura’ na verdade é um rasgo ao longo de uma bainha fibrosa que envolve os três tubos principais do pênis.
Quando ocorre a fratura peniana, os homens perdem imediatamente a ereção, o local fica inchado e com hematomas. Os pacientes também relatam um ruído de estalo.
O homem de 40 anos se recuperou totalmente da lesão após 6 meses.



Aviso