Um caso médico raro e preocupante foi documentado no "American Journal of Case Reports", detalhando a experiência de uma mulher de 45 anos que sofreu uma ruptura da aorta enquanto mantinha relações sexuais com seu marido. A paciente procurou atendimento de emergência com queixas de forte dor no peito irradiando para as costas, acompanhada de falta de ar e náuseas, logo após atingir o orgasmo e sentir um "estalo".
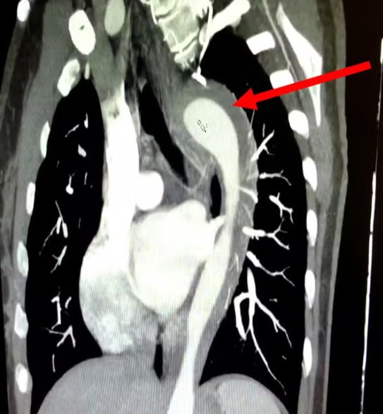
A investigação médica revelou que a paciente possuía um histórico de hipertensão não tratada por um ano e era tabagista crônica há 17 anos. Esses fatores de risco foram cruciais para o desenvolvimento de um hematoma intramural na aorta, uma condição séria caracterizada por sangramento dentro da parede da maior artéria do corpo.
Classificada como uma Síndrome Aórtica Aguda (SAA), essa condição é extremamente perigosa e, se não for diagnosticada e tratada rapidamente, pode progredir para complicações fatais como aneurisma ou ruptura completa da aorta, com uma taxa de mortalidade que aumenta drasticamente a cada hora sem intervenção.
Embora a atividade sexual seja considerada um esforço físico moderado, podendo em alguns momentos atingir níveis de exercício quase máximos, a associação direta com o aumento do risco de SAA ou morte súbita é rara. No entanto, os médicos responsáveis pelo caso enfatizam a natureza incomum do episódio, especialmente por envolver uma mulher em uma relação consensual, mas com fatores de risco significativos e preexistentes.
O tratamento para o hematoma intramural na aorta varia conforme a localização e a extensão da lesão, podendo ser clínico ou cirúrgico. No caso em questão, a paciente recebeu medicação e foi prontamente encaminhada para uma cirurgia cardiotorácica, procedimento que se mostrou vital para sua recuperação. Graças à intervenção rápida e eficaz, a mulher teve alta hospitalar em apenas três dias.
Ele sublinha que, mesmo em situações cotidianas ou íntimas, fatores de risco negligenciados podem ter consequências devastadoras. A conscientização e a prevenção são ferramentas essenciais na proteção da saúde cardiovascular.




Aviso