Um caso médico inusitado foi publicado pelo jornal científico da National Library of Medicine. Pesquisadores descreveram que na Índia uma professora de 27 anos, procurou um hospital com sintomas de tuberculose, mas após diversos exames os médicos descobriram que havia uma camisinha no pulmão da paciente.
De acordo com a publicação, na primeira consulta a mulher se queixava de tosse, febre e acúmulo de muco, que já duravam dois meses. Ela fez uma tratamento para tuberculose com diversos medicamentos, mas após quatro meses os sintomas não passaram.
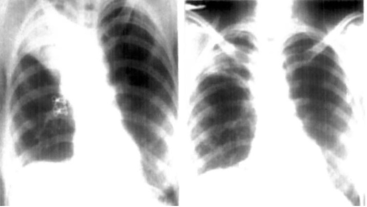
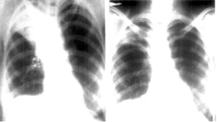
Ao refazer os exames, o teste para a doença deu negativo, e foi descoberta uma lesão em um lobo pulmonar superior da paciente, e encontrada uma "estrutura semelhante a uma bolsa invertida 'parada' no brônquio”. Após cirurgia os médicos perceberam que se tratava de uma camisinha.
A professora foi questionada sobre como o objeto foi parar ali, e revelou que certa vez ao fazer oral com o marido o preservativo se soltou, e que na ocasião ela teve uma crise de espirro e tosse.

