Curioso para saber qual a profundidade no interior da própria genitália, um adolescente, de 15 anos, ficou com um cabo USB preso dentro pênis. O caso aconteceu em 2021, no Reino Unido, mas só agora foi noticiado pelo site de saúde e medicina Science Direct.
A mãe do jovem contou que o filho estava fazendo um experimento sexual enfiando o cabo USB do carregador de celular na uretra. Ele só contou o que aconteceu quando entrou em pânico por não conseguir tirar o cabo e sentir fortes dores.
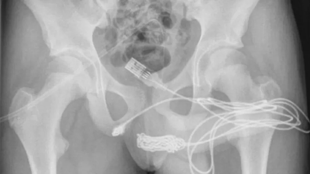
Na radiografia feita no hospital, era possível ver que o cabo ficou com alguns nós e ficou emaranhado na uretra.
Para tirar o objeto, os médicos tentar puxar o cabo com uma haste de metal, mas o nó impedia a saída, então foi necessário fazer um corte entre a genitália e o ânus para que pudessem chegar ao cabo por baixo.
A cirurgia foi bem-sucedida e o adolescente conseguiu se recuperar completamente.



