O tamanho do documento é uma discussão recorrente no universo masculino. Enquanto a maioria dos homens gostaria de aumentar “só um pouquinho”, um adolescente americano foi na contramão dessa corrente: ele se submeteu à primeira cirurgia de redução de pênis da história.

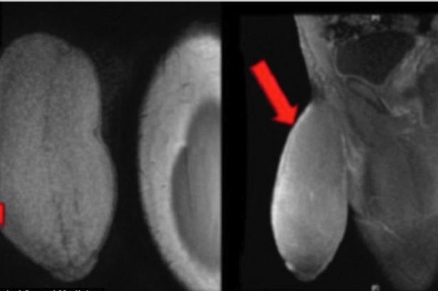
O caso aconteceu na Flórida e foi divulgado pelo renomado Journal of Sexual Medicine. Segundo o artigo publicado no veículo médico, o rapaz possuía um membro de 18 cm em estado flácido, além de uma circunferência de 26 cm – o dito cujo foi descrito como sendo parecido com uma bola de rugby. O adolescente possui 17 anos e teve sua identidade preservada.

O cirurgião responsável pelo procedimento, Rafael Carrion, explicou que o pedido foi feito depois de o adolescente relatar problemas em manter relações sexuais e em praticar esportes. Foram retirados segmentos das laterais do pênis do garoto, em uma operação parecida com a que é feita em outros órgãos – Carrion explica que procurou em toda a literatura médica e não encontrou nada parecido.





