Pesquisadores da Universidade de Berna, na Suíça, acompanharam um caso que pode abrir novas portas aos estudos da esquizofrenia. Isso porque uma mulher, que apresentava diversos sinais da doença e alegava poder "ouvir a voz de Deus", foi diagnosticada com um tumor cerebral, o responsável por todas as alucinações e experiências religiosas relatadas pela paciente.
A mulher, cujo nome não foi divulgado, começou a perceber algumas mudanças na sua forma de perceber o mundo. Ela se tornou mais religiosa, sentiu ter passado por experiências sobrenaturais e acreditava ser capaz de “ouvir a voz de Deus”. Depois de alguns episódios excepcionais, descobriu que, na realidade, suas vivências eram o produto de um tumor que surgiu em seu cérebro.
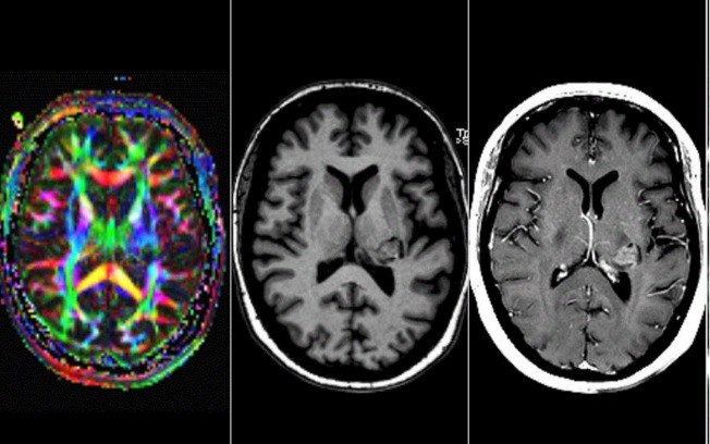
As primeiras suspeitas apontavam para uma doença psiquiátrica, como a esquizofrenia. Contudo, alguns dos sintomas descritos pela paciente instigaram os médicos a pesquisarem um pouco mais a fundo sobre a sua possível condição, o que a levou a fazer uma ressonância magnética cerebral.
O exame revelou uma massa tumoral na estrutura chamada tálamo. “A massa estava localizada em uma rede considerada vital para percepções vocais”, explicou Sebastian Walther, professor de neurociência psiquiátrica , o que justifica as experiências sentidas pela paciente.
Avanços na compreensão da esquizofrenia
Como a mulher desenvolveu sintomas muito característicos da esquizofrenia – alucinações, percepção de vozes e constantes delírios, por exemplo –, os pesquisadores acreditam que analisar sua condição pode ser muito importante para entender melhor a doença mental.
Os acadêmicos, especialistas em pesquisa em esquizofrenia , perceberam que este caso possui potencial para ser mais um passo para comprovar uma teoria sobre a doença. De acordo com os suíços, os sintomas da condição podem ser desencadeados por interrupções em determinadas áreas do cérebro, e não em todo o órgão.
O tumor foi diagnosticado na paciente há dois anos. A mulher começou a ser medicada para diminuir a frequência das alucinações, porém, ela decidiu parar com o tratamento após algum tempo, quando as vozes "de Deus" retornaram.
Fonte: IG



