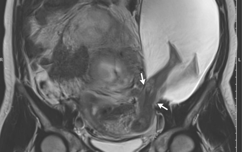
Uma anomalia rara chamou a atenção dos médicos. Uma mulher de 33 anos, que não foi identificada, gerou um bebê com as pernas dele de fora do útero. Ela não apresentava problemas na gestação e caso só foi descoberto após ultrassom.
Segundo o ginecologista do Hospital da Universidade de Angers, na França, Pierre-Emanuel Bouet, na 22º semana de gravidez um corte de 2,5 centímetro abriu no útero da paciente. Bouet disse ao portal Live Science acreditar que isso aconteceu porque esta era a sexta gestação da mulher e as outras cinco anteriores foram finalizadas por cesariana. “Ao que parece, as inúmeras cesárias enfraqueceram a parede do útero da paciente”, explicou.
Segundo a revista “The New England Journal of Medicine”, a literatura médica só registrou 26 casos do tipo.




Aviso