Um adolescente de 17 anos, que não teve o nome divulgado, engoliu um alfinete sem perceber, no momento em que fazia reparos nas próprias roupas. O alfinete perfurou o coração do jovem.
Segundo o The Journal of Emergency Medicine, que relatou o caso, o jovem só percebeu algo estranho dias depois, quando passou a sentir fortes dores no peito que se espalhavam para as costas e pioravam quando ele respirava fundo ou estava deitado.
O jovem passou por um eletrocardiograma, que mostrou anormalidades na atividade elétrica do coração. Os médicos chegaram a suspeitar que ele tivesse perimiocardite, uma inflamação no músculo ou na membrana que cobre o coração.
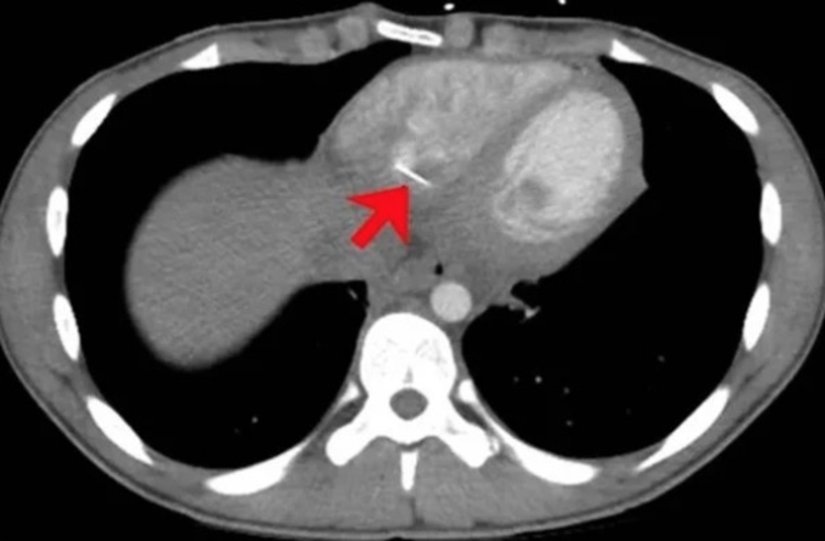
Exames de sangue também mostraram níveis altos de proteína, o que indicaria um problema no coração. Mas foi somente com uma tomografia que um “objeto linear metálico” alojado no coração foi identificado.
Se tratava do alfinete que estava no ventrículo direito do adolescente. O rapaz não lembrava de ter engolido nada, ou sofrido qualquer trauma no tórax, mas mencionou que reforma as próprias roupas e, às vezes, segura os alfinetes com a boca.
O americano precisou passar por uma cirurgia para retirar o objeto. Os médicos acreditam que o alfinete migrou do estômago para o coração, ou de alguma outra parte do sistema gastrointestinal, como o esôfago ou o intestino.
O adolescente se recuperou da cirurgia e não teve maiores complicações.



