Uma mulher, de 27 anos, que tem paralisia cerebral, teve uma pedra do tamanho de uma laranja retirada da vagina em um hospital no Líbano. O caso foi noticiado na New York Post baseado em um estudo publicado no Urology Case Reports em novembro.
A pedra, que foi descrita como "incrivelmente rara" pelos médicos, se formou devido a um acúmulo de urina na vagina da mulher. Ela tinha histórico de incontinência urinária, o que é comum em pessoas com paralisia cerebral.
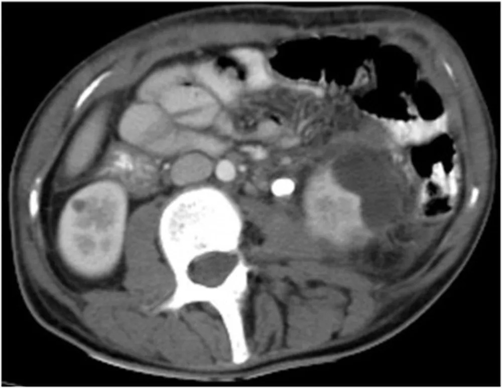
Os sintomas da mulher, que incluíam febre, calafrios, dores abdominais e vômitos, levaram-na ao pronto-socorro. Uma tomografia computadorizada revelou a pedra, que estava pressionando a bexiga da mulher e causando ainda mais perdas de urina.
Os médicos usaram lasers e ondas de choque de ultrassom para quebrar a pedra em pedaços menores, que foram então removidos com uma pinça em um procedimento de três horas.
A mulher recebeu alta do hospital e está tomando antibióticos para prevenir infecções.







