Um homem de 34 anos rompeu a garganta por causa de uma ação que, provavelmente, você também já fez: tentar segurar um espirro. De acordo com o portal Metro , a condição do paciente é muito rara e propícia a apresentar complicações, e deixou os médicos responsáveis por seu atendimento muito surpresos.
Publicado no jornal científico BMJ Case Reports , o caso descreveu um homem saudável, que deu entrada no hospital “com uma sensação muito dolorosa na região do pescoço”, iniciada logo após ter segurado um espirro . O paciente explicou que, com as narinas e boca fechadas, tentou não espirrar, mas a ação não deu muito certo.
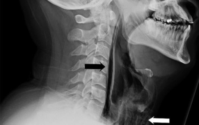
Com dificuldades para engolir e falar, o homem foi examinado por especialistas que, muito intrigados, escutaram sons incomuns desde o pescoço até a caixa torácica do paciente. Isso era um sinal de que bolhas de ar tinham penetrado nos tecidos e músculos do tórax, o que foi confirmado com exames de imagem.
Ele foi diagnosticado com perfuração na faringe, uma condição muito rara, que só costuma acontecer em casos de traumas, vômitos, tosses densas e ânsias. Por causa dos riscos de c omplicações sérias , o paciente passou uma semana internado, sendo alimentado por um tubo e medicado com antibióticos até o problema ser estabilizado.
Um hábito perigoso
Com o objetivo de não chamar a atenção em determinados ambientes, muitas pessoas costumam evitar o ato de espirrar. Entretanto, especialistas dos Hospitais Universitários de Leicester, no Reino Unido, não recomendam a prática.
Para o Daily Mail , otorrinolaringologistas explicaram que tentar conter o ato pode levar a dezenas de complicações, como aconteceu com o homem de 34 anos. Além disso, o médico Richard Harvey, da Universidade de New South Wales e Macquarie, na Austrália, contou à emissora ABC que um caso semelhante foi registrado em 2011.
As consequências são inúmeras, e além de romper a garganta, tentar não espirrar também pode forçar a entrada de ar nas cavidades cranianas e da região da testa. A força de um espirro contido, inclusive, é capaz de romper pequenos ossos de nosso sistema auditivo.



