LONDRES - Muita gente já ouviu dizer que segurar o espirro pode fazer mal à saúde, mas poucas pessoas sabem explicar exatamente por quê. Um caso ocorrido na cidade de Leicester, no Reino Unido, porém, serve de resposta.
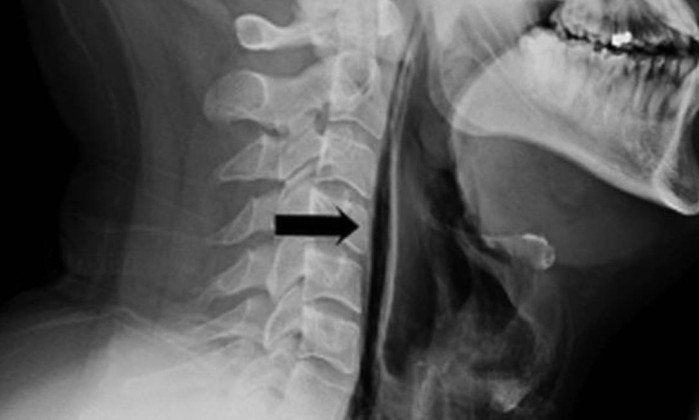
Em um artigo publicado na última segunda-feira, pelo periódico científico "British Medical Journal Case Reports", médicos de Leicester descrevem o caso de um homem de 34 anos que chegou ao hospital relatando dificuldades de deglutição, além de uma "sensação de estalar" no pescoço, que estava inchado.
O paciente percebeu os sintomas após impedir um espirro apertando o nariz e fechando a boca. Como consequência, sofreu uma fratura grave na garganta. O caso foi surpreendente, segundo médicos que atenderam o homem, porque a ruptura da parte de trás da garganta só é normalmente vista em episódios de traumas e acidentes.
O episódio é um caso extremo, mas, sempre que um pessoa tenta prender um espirro, ela reverte para dentro do corpo uma pressão enorme. "Quando se espirra, o ar expelido chega a uma velocidade de 240 km/h", explica o médico Anthony Aymat, diretor de atendimentos de orelha, nariz e garganta do Hospital Universitário de Londres Lewisham.
Ou seja, quando alguém segura essa "bomba", em vez de jogá-la para fora, ela "explode" dentro do rosto, podendo causar dores nos ouvidos, na garganta e no peito.
Segundo o doutor Zi Yang Jiang, cirurgião de cabeça e pescoço da Universidade do Texas, apenas um ou dois casos de rompimento da garganta são diagnosticados a cada ano, o que torna a ocorrência desse problema extramamente rara.

