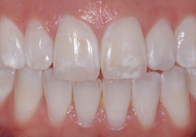
Você já reparou que algumas pessoas têm manchinhas brancas nos dentes, como essas aí que você acabou de ver na imagem acima?
Segundo informações do site Mega Curioso, Elas podem surgir devido a uma variedade de motivos, e um deles é a exposição excessiva ao flúor quando ainda somos crianças. Isso mesmo, caro leitor, a própria substância que ajuda a tornar os dentes mais resistentes às cáries também pode causar problemas — no caso, um chamado fluorose dentária.
A fluorose dentária ocorre quando grandes quantidades de flúor são consumidas enquanto os dentes permanentes ainda não nasceram. Essa ingestão pode acontecer por meio da água com excesso dessa substância, de determinados suplementos e do consumo de cremes dentais enriquecidos com esse composto.
Dentinhos esbranquiçados
Antes de alcançarmos os 8 anos de idade — aproximadamente —, os nossos dentes permanentes ainda estão em desenvolvimento sob a gengiva. Então, o que o consumo de flúor em excesso faz é interferir no processo de formação dental, afetando a produção do esmalte dentário.
O resultado disso é que alguns pontos do esmalte acabam não se formando direito, e manchas esbranquiçadas — e até mais escuras — acabam aparecendo nos dentes. Vale destacar que o flúor, desde que em quantidades controladas, é muito importante para controlar o surgimento de cáries. Portanto, é bom ficar de olho nos limites estabelecidos!
Para crianças de até 6 meses, a dose diária não deve passar de 0,01 miligrama ao dia, enquanto que de 7 a 12 meses, ela deve ser de até 0,5 mg/dia. Já para os pequenos entre 1 e 3 anos, a dose sobe para 0,7 mg/dia, e para a molecada entre 4 e 8 anos, a recomendação é de até 1 miligrama diário. Lembrando que o flúor presente na água e em outras bebidas geralmente corresponde a 75% das necessidades diárias.
Outras causas
Apesar de a fluorose dentária ser a causa mais comum para o surgimento de manchinhas, conforme explicamos no começo da matéria, ela não é a única! Os sinais também podem aparecer por conta de um problema chamado hipoplasia de esmalte dentário, um defeito que resulta na desmineralização do esmalte.
Essa falha pode ser de ordem hereditária, mas também pode resultar de deficiências nutricionais e como efeito colateral de determinados medicamentos. Além disso, crianças prematuras também podem apresentar essa condição, assim como aquelas cujas mães fumaram durante a gravidez.
Outra causa do surgimento de manchas seria a desmineralização propriamente dita, provocada pela ação da placa bacteriana no dente. Como você já deve ter ouvido do seu dentista, a placa se acumula devido à escovação inadequada, e a desmineralização frequentemente afeta pessoas que usam aparelhos fixos e não fazem uma higienização oral correta.
Além desses problemas já descritos, pessoas que sofrem de refluxo também podem desenvolver manchas nos dentes, já que existe a possibilidade de a boca apresentar níveis de acidez mais altos que o normal. Vale lembrar que alguns alimentos — como itens muito ácidos, alguns chás, o café etc. — podem causar manchinhas, mas a boa notícia é que existem formas de melhorar e até de nos livrarmos desses sinais indesejados.
Tratamentos
Uma das maneiras mais comuns de remediar as manchinhas nos dentes é um procedimento chamado microabrasão. Ele consiste em remover uma finíssima camada do esmalte do dente, melhorando, assim, a sua aparência, e essa técnica pode ser combinada ao clareamento dental.


