Uma criança, que engoliu uma moeda na quarta-feira (9), está há mais de 12 horas com o objeto na garganta. O caso ocorre em São Paulo.
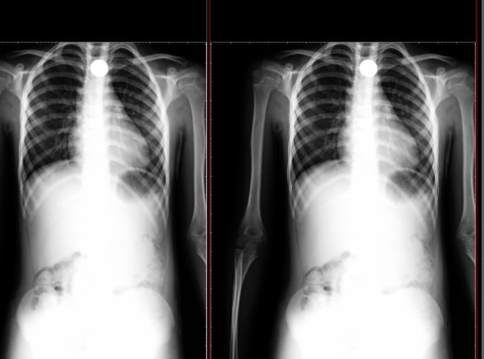
Segundo o G1, o menino de 8 anos chegou perto do pai e contou que havia engolido a moeda, e já mostrou sinais de falta de ar, o que preocupou a família, que levou a criança com urgência para um hospital, onde foi confirmado através de um raio-x, a existência do material.
A vítima está com dor no peito, sem se alimentar e ainda espera transferência para outro hospital, onde se possa fazer cirurgia.
Em nota, a Secretaria ainda disse que o deslocamento de pacientes a outros serviços de saúde requer quadro clínico favorável, com base em avaliação médica, e portanto não depende somente da disponibilidade de vagas. Cabe ao serviço de origem atualizar constantemente o quadro do paciente e mantê-lo estável e livre de infecções para que, desta forma, a locomoção seja feita com segurança.



