Especialistas em diagnóstico por imagem descartaram, nesta quarta-feira (27), o uso isolado de tomografia, ultrassom ou raio-x como método eficaz para comprovar infecções pela Covid-19. Em reunião promovida pela comissão externa da Câmara dos Deputados que analisa medidas contra a doença, eles afirmaram que os exames de imagem não são indicados a pacientes sem sintomas ou com sintomas leves.
“Um diagnóstico de Covid-19 deve se pautar por informações clínico-epidemiológicas associadas a testes laboratoriais (RT-PCR ou sorologia), quando disponíveis e validados”, disse o presidente do Colégio Brasileiro de Radiologia e Diagnóstico por Imagem, Alair Sarmet.
Ele ponderou, no entanto, que exames mais completos, como a tomografia computadorizada de alta resolução (TCAR), podem ser indicados para avaliar se pacientes com quadro grave ou moderado já hospitalizados apresentam outras complicações como tromboembolia pulmonar ou infecção bacteriana.
Preocupados com a baixa testagem da população brasileira para Covid-19 – cerca de 35 mil testes por dia –, os deputados Dr. Luiz Antonio Teixeira Jr. (PP-RJ), coordenador da comissão externa, e Alexandre Padilha (PT-SP) questionaram Sarmet se os exames de imagem não poderiam auxiliar no diagnóstico precoce, evitando a evolução do paciente para quadros mais graves da doença.
"Vemos doentes que, pela manhã, não tinham sintomas e à noite apresentavam queda maciça na saturação (nível de oxigênio no sangue) e tinham o pulmão com mais de 50% de comprometimento bilateral”, disse Teixeira Jr.. Padilha defendeu o uso de achados de tomografia, ultrassonografia e de raio-x, junto com os exames clínicos, como critérios de confirmação de casos. "É fundamental agregar esses outros meios de diagnóstico”.
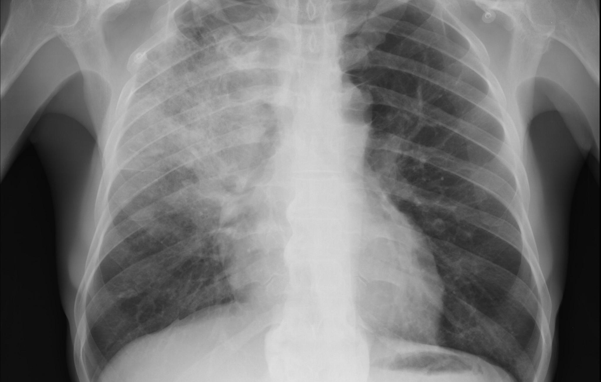
Segundo Sarmet, no entanto, o exame mais recomendado no primeiro contato com o paciente é o raio-x de tórax. “O paciente chegou com síndrome gripal, tem que ser examinado quanto à febre e à saturação sanguínea. Depois, o primeiro exame de imagem a ser feito é um raio-x de tórax”, observou. Ele destacou que pacientes com saturação abaixo de 93% devem ficar em observação. "Caso já chegue com menos do que isso, será encaminhado à UTI, mas antes, fará a tomografia para identificar se tem doenças associadas como H1N1 e tuberculose”, explicou. Na UTI, segundo Sarmet, o acompanhamento também deve ser feito por raio-x diário.
Coordenador da comissão científica do CBR, Waldair Muglia destacou por fim que, em situações de escassez de testes laboratoriais, a tomografia pode ser usada desde que sempre acompanhada de dados clínicos e epidemiológicos, para evitar diagnóstico cruzado de Covid-19 com outras doenças. “ Os achados não são específicos da Covid-19 e podem se sobrepor aos de várias outras patologias, como H1N1 e pneumonias virais”, disse.
Ultrassonografia
O presidente da comissão de Ultrassonografia Musculoesquelética da Sociedade Brasileira de Ortopedia, Monres José Gomes, apresentou estudos que comprovam achados ecográficos relacionados à Covid-19 e defendeu o uso da ultrassonografia como auxiliar no diagnóstico da doença. Segundo ele, o baixo custo do aparelho e a facilidade de transporte favorecem o diagnóstico mesmo em Unidades de Pronto Atendimento (UPAs).
"Não tem teste e não tem tomógrafo para todo mundo. Mas em toda a UPA tem um doutor novo querendo trabalhar. Que tal trocar o estetoscópio dele por um aparelho portátil de ultrassonografia”, disse Gomes. E ressaltou: "É para servir como estetoscópio visual . Não é para fazer diagnóstico”, completou. O deputado Dr. Zacharias Calil (DEM-GO) disse que uma coisa complementa a outra. "É um exame de complementação que você pode acompanhar tanto na fase inicial quanto crítica da doença”, disse.
De acordo com a CBR, não há evidências científicas, até o momento, de que o ultrassom do tórax tenha papel efetivo no diagnóstico ou na avaliação inicial de pacientes com Covid-19. A entidade ressalta ainda que o exame não substitui a tomografia computadorizada de alta resolução e que só deve ser realizado por profissionais habilitados e que estejam usando Equipamentos de Proteção Individual (EPIs). A CBR recomenda ainda a desinfecção total do equipamento após o uso.
Com informações da Agência Câmara



