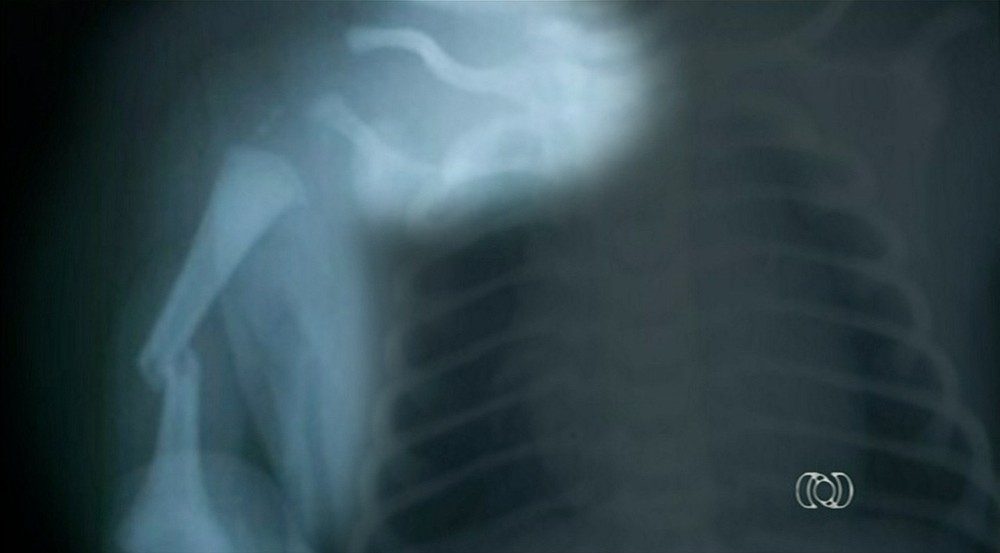
Um bebê teve um braço e a clavícula quebrados durante o parto em uma maternidade, em Palmas.
De acordo com o site do Sistema Globo, os pais da criança não sabem porque fizeram normal, sendo que uma das médicas queria fazer parto cesariana.
O bebê nasceu com 4,6 kg e complicações, e a mãe ainda está internada na maternidade.
A Secretaria de Estado da Saúde informou que a direção da maternidade vai abrir uma sindicância para apurar o que aconteceu e que tomará as providências necessárias sobre esse caso.







